東北地理所創新性揭示水稻低溫萌發的調控機制
低溫萌發(LTG)是水稻的一個重要農藝性狀,也是水稻直播輕簡栽培的先決條件。水稻屬低溫敏感型作物,經不同地理區域的人工選擇和栽培產生了秈粳兩個不同的水稻亞種,二者具有顯著不同的耐冷性。一般來說,粳稻的低溫萌發能力通常優于秈稻,并且在先前的研究中鑒定出的大多數耐冷等位基因均來源于粳稻。然而,關于低溫萌發的遺傳基礎和分子機制仍不清晰。
近日,東北地理所方軍研究員團隊關于水稻低溫萌發的最新研究成果刊發在國際綜合性期刊頂級B刊Nature Communications(IF=16.6)上。研究發現,E2泛素耦合酶基因OsUBC12啟動子中轉座子的插入能夠顯著提高其轉錄水平,進而增強粳稻的低溫萌發能力,并進一步揭示了UBC12調控水稻低溫萌發的潛在機制,為培育適合直播特性水稻品種提供了基因及種質資源。
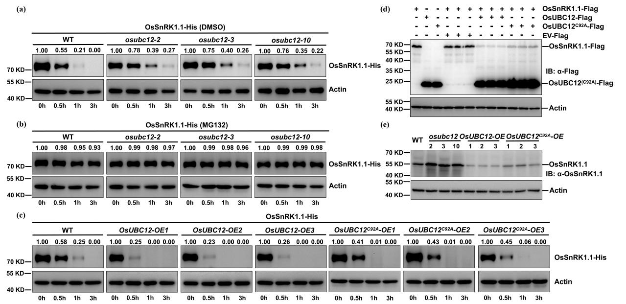
研究團隊首先以染色體片段代換系(IR64背景/ Koshihikari漸滲)為試材,經萌發測試、群體構建及定位發現,與秈稻IR64相比,粳稻Koshihihikari背景中E2泛素耦合酶基因OsUBC12啟動子中插入了一個轉座子基因(約6kb)。進一步分析表明,OsUBC12啟動子中轉座子的插入能夠顯著提高OsUBC12的轉錄水平,進而促進水稻的低溫萌發(圖1)。OsUBC12的自然變異分析表明,該轉座子的插入主要發生在粳稻亞種中,并已應用到秈粳雜交育種(圖2)。分子和生化分析表明,OsUBC12能夠招募OsSnRK1.1,并在體內和體外促進OsSnRK1.1的降解(圖3),進而促進水稻的低溫萌發。

圖1 OsUBC12啟動子中轉座子的插入促進低溫萌發

圖2 OsUBC12在水稻中的自然變異及其潛在應用

圖3 OsUBC12促進OsSnRK1.1的降解
基于以上結果,該研究提出了OsUBC12參與調控水稻低溫萌發的工作模型(圖4):OsSnRK1.1作為下游的關鍵調節因子,通過上調ABA信號抑制低溫萌發。OsUBC12主要催化K48-多聚泛素化修飾,能夠招募OsSnRK1.1并促進OsSnRK1.1的降解。與秈稻相比,粳稻OsUBC12啟動子中轉座子的插入顯著激活OsUBC12的表達。而豐度提高的OsUBC12蛋白進一步促進OsSnRK1.1的降解,從而削弱OsSnRK1.1調節的ABA信號傳導,增強粳稻的低溫萌發能力。

圖4 OsUBC12參與調控水稻低溫萌發的工作模型
黑土地保護與利用全國重點實驗室(籌)、東北地理所特別研究助理張傳忠為論文的第一作者,方軍研究員為通訊作者。東北地理所田曉杰副研究員和中國農業科學院深圳農業基因組研究所汪鴻儒研究員為該研究提供了重要幫助。東北地理所卜慶云研究員和中國水稻研究所張健研究員參與指導論文。東北地理所韓忠民特別研究助理、劉佳助理研究員、沙漢景助理研究員、韓云飛博士、吉林師范大學劉劍鋒教授及林鑫焱碩士也參與了該項研究。研究得到中國科學院戰略先導專項(A類)項目(XDA28100301)、國家自然科學基金(U22A20456)、黑龍江省優秀青年基金(YQ2021C035)、中國博士后科學基金(2021M693157)、東北地理所青年科學家小組項目(2023QNXZ02)等聯合資助。
論文信息:
Chuanzhong Zhang, Hongru Wang, Xiaojie Tian, Xinyan Lin,Yunfei Han,Zhongmin Han, Hanjing Sha, Jia Liu, Jianfeng Liu, Jian Zhang,Qingyun Bu, Jun Fang. A transposon insertion in the promoter ofOsUBC12 enhances cold tolerance duringjaponica rice germination. Nature Communications, 2024, 15, 2211.
論文鏈接:
附件下載:
吉公網安備22017302000214號